セカンドオピニオン対応
重度の方へ
「歯周組織再生療法」に対応

終わらない「歯周病治療」にお別れを
- 効果的に「歯周病菌」を殺菌
- 効率的な「短期集中治療」に対応
- 「噛み合わせ/咬合」へのアプローチ
- 「口臭」の顕著な改善
セカンドオピニオン対応

終わらない「歯周病治療」にお別れを






歯周病でお悩みの皆さん。
以下のいずれかに当てはまる悩みを抱えていませんか?
歯周病でこのような状態に陥っているのは、決してあなた一人ではありません。
治療を続けても良くならないには「理由」があるのです。その理由は大きく2つに分けられます。

歯周病は「生活習慣病」です。どんな治療を行ったとしても、生活習慣が改善されていない限り、再発してしまいます。自宅での正しいブラッシングや禁煙、規則正しい生活、十分な睡眠を取ることができていないと、歯周病のリスクは減ってくれません。

歯周病は「細菌による感染症」でもあります。歯科医院での治療したといっても、処置内容が歯石や歯垢の除去だけでは不十分な場合があります。なぜなら、目に見えない細菌に対してのアプローチが不十分なためです。
治療しても再発する方や、徐々に歯が失われている方は、治療内容の問題があるかもしれません。
現在の歯科医院での治療を続けても改善が見られないと感じている方、当院では「セカンドオピニオン」にも対応していますので、ぜひご相談ください。新しい治療方法であなたの歯周病を改善しましょう。

歯周病の治療に限らず、歯科治療において最も大切なことは「正確な診断」です。診断を誤ってしまうと、適切な治療をすることができません。
そのため、当院では様々な検査を行い、最適な治療法をご提案しています。以下に、当院の診断方法と治療について詳しくご紹介します。

歯周病の進行状態を正確に評価するために、歯周ポケット検査を行います。

お口の状態を詳細に撮影することで、磨き残しや噛み合わせ、歯並び、治療後の変化等を評価します。

唾液を用いて歯周病菌の有無を調べる検査です。検査結果をもとに、歯周病のリスクや適切な予防方法を確認します。

PCR検査は、細菌のDNAを分析することで、歯周病の原因となる細菌の種類や量を特定する検査です。肉眼では見えない細菌を検出し正確な診断と適切な治療計画を立てるために利用します。

噛み合わせ/咬合が原因で歯周病が悪化する(歯周ポケットが広がる)ことがありますので適切な咬合になっているかの検査を行います。

歯周病は進行すると、顎の骨が溶かされていきます。当院では。歯だけではなく、顎の骨まで立体的に撮影できるCTを導入しています。
これらの検査を通じて、患者さんのお口の状態を正確に把握し、適切な治療を提供いたします。具体的な治療法に関してお伝えします。

最初にお伝えした通り、歯周病は細菌による「感染症」です。細菌の塊である歯垢や歯石を徹底的に除去していくことが治療の基本となります。しかし、これだけでは細菌を完全に除去したことにはなりません。目に見えない細菌が存在するためです。そのため当院ではこの細菌へのアプローチも重視しています。

歯周病菌を効果的に殺菌するために、「ジスロマック」という内服薬を使用します。この薬は、歯の周りの炎症を抑える効果や、歯垢の形成を抑制する作用も期待できます。

高周波治療は、高周波のエネルギーを使って振動を起こし、その摩擦で熱を発する治療法です(電子レンジの原理に似ています)。この高周波は殺菌効果があり、自然治癒力を高め、治療期間の短縮が期待できます。

当院では、EMS社のエアフローを使用しています。EMS社のエアフローは、従来のエアフローと異なり、超微粒子パウダーを吹き付けて、歯周ポケット内の細菌を効果的に除去します。そのため、歯や歯茎、歯質を傷つけずにバイオフィルム(細菌の塊)を取り除くことができます。
このような目に見えない細菌へのアプローチにより、「口臭」の改善も期待できます。口臭は主に歯周病菌が放出するガスが原因であるため、これらの細菌を除去することにより、口臭の問題も解決する可能性が高まるのです。

歯周病が重症化すると、顎の骨が溶け、歯がぐらつき、最終的には「抜歯」となってしまうことがあります。当院では、可能な限り「抜歯」を回避することを目指しています。そのために「歯周組織再生療法」を実施しています。治療法は「GTR」「リグロス療法」「CGF」の3つがあります。

GTR法では、骨の再生を促すために人工膜を用います。歯茎を切り開き、歯と顎の骨の間にこの膜を数か月間埋入しておくことで、失われた顎の骨が再生します。

リグロス療法は、ゲル状の薬液を使用し、GTR法と同様に、顎の骨と歯の間に充填して骨の再生を促進します。この方法も効果的に骨の再生を助けます。

CGF療法では、ご自身の血液から生成される血小板と成長因子が豊富に含まれたフィブリンゲルを使用します。これにより、骨再生や歯肉の再生が促進され、さらに痛みの軽減や回復の早さも期待できます。完全に自分の血液から作られるため、体に合わないといった拒絶反応やアレルギーの心配はありません。
こちらも歯周病の症状が進行している方に向けた治療です。重度の歯周病では、歯周ポケットが深くなり、治療器具が届かない場所に歯石が蓄積することがあります。
そのような場合、「歯周外科治療」を行います。当院では「FOP法」「ルートセパレーション」の2つの治療法を提供していますので、それぞれご紹介いたします。

初期の歯周病では歯周ポケットが浅いため、歯石の除去は比較的容易ですが、深くなると外科的処置が必要です。FOP法とは、局所麻酔を行った後に、歯茎を切開して歯石を除去する方法です。歯石をきれいに取り除くと、歯周ポケットが浅くなり、プラークが溜まりにくくなります。

右の画像をご覧ください。
歯茎が退縮した結果、歯と歯茎の間に「隙間」が生じています。
歯の根っこの分かれ目である「分岐部」に病変ができることを「分岐部病変」といいます。
この部分も通常の治療器具では届きにくいため、「ルートセパレーション」という特別な治療が必要です。ルートセパレーションとは、歯を分割して清掃しやすい状態にする治療法で、治療後には分割した歯に被せ物をして、見た目も改善します。

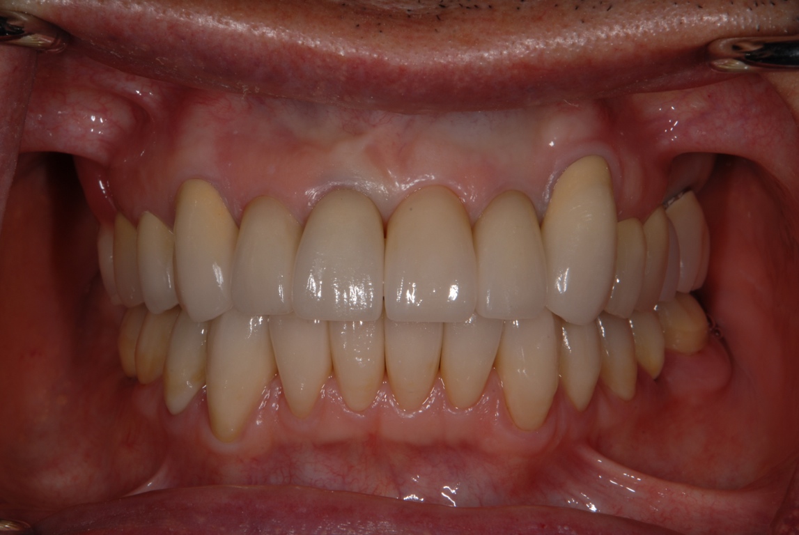
歯周病が進行した状態で治療を行うと、治療後、歯が長く見えることがあります。この状態は見た目が悪い他、歯根が露出して歯がしみる原因にもなります。当院では「歯肉移植手術」を行っており、この状態も改善できます。「お口の健康」と「美しさ」にこだわりたい方は、ぜひ一度ご相談ください。

歯周病は継続的なケアが非常に重要です。しかし、通院のたびに担当者が変わると、患者さんの治療経過やお口の状態、生活習慣などを正確に理解することが難しくなります。
そこで当院では、患者さん一人ひとりに専属の担当者がつく「歯科衛生士担当制」を導入しています。この制度により、患者さんのお口の状態を常に正確に把握し、問題が発生した際には迅速に対応できます。また、生活習慣も詳しく理解しているため、改善のための的確なアドバイスを提供することができます。

お伝えしている通り、歯周病は「生活習慣病」です。どんなに歯科医院で高度な治療を行っても、生活習慣が改善されなければ再発の可能性は消えません。
「悪くなってから再治療する」を繰り返していると、次第に歯を失っていくことになります。それだけではなく、歯周病は「全身疾患」にもつながる危険な病気です。
最近では、下記のような疾患との関連が指摘されています。

歯周病は単なる「口の病気」と侮らないでください。ご自身の全身の健康のためにも、歯周病ケアをしっかりと行っていただきたいと思います。生活習慣の改善とともに、定期的な歯科検診を受けることで、再発防止に努めましょう。
当院では、患者さんが抱えていらっしゃるお口のお悩みや疑問・不安などにお応えする機会を設けております。どんなことでも構いませんので、私たちにお話ししていただけたらと思います。
ご興味がある方は下記からお問い合わせください。