美しさは「口元」から
口元の印象はお顔全体の印象も左右します
3.5万円~

当院は「睡眠無痛治療(静脈内鎮静法)」に対応しています。
腕の静脈から鎮静剤を少しずつ点滴し、半分眠っているようなリラックスした状態で治療を進めます。
うとうとするため音・振動・においが気になりにくく、痛みや怖い記憶も残りにくいのが特長。嘔吐反射が強い方でも、型取りや少し長めの処置がぐっとラクになります。
治療に不安のある方は、まずはお気軽にご相談ください。詳細はこちら。

\ こんな方におすすめ /
※睡眠無痛治療は「保険外(自費)」となります。
3.5万円~










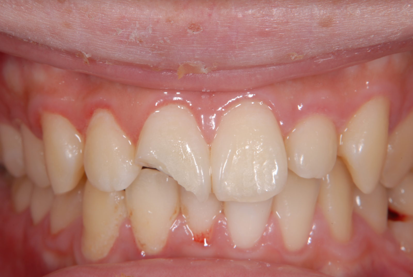
セラミックの詰め物や被せ物とは異なる材料で、銀歯を白くする方法、もしくは虫歯部分を削った後に銀歯ではなく白い素材で埋める方法があります。それが「ダイレクトボンディング法」です。ゲル状の素材で特殊な光を当てると硬化する素材になります。次のような特徴があります。
✅セラミック素材と比較して低価格
✅最短1日で治療終了
✅詰め物・被せ物よりも歯を削る量が少ない
被せ物レベルの大きなケースは適応外となりますが、詰め物レベルであれば、この素材が利用できます。

私達が追求する審美的治療とは「機能性」と「美しさ」を兼ね備えた治療です。
「機能性」とは「噛む、しゃべる、メンテナンスのしやすさ」等を獲得できている状態。「美しさ」とは「誰が見ても美しいと感じる美しさ、もしくはその方が希望する美しさ」のことです。
この2つを兼ね備えてこそ、はじめて「治療」と言えます。
しかし、「美しさだけを追求」した治療が行われることがよくあります。そのような治療は長く持ちません。必ず何かの問題が生じ、最終的には治療のやり直し、抜歯につながることもあります。これは当然のことです。歯は美しさを表現するためだけに存在しているものではなく、そもそも「噛む、しゃべる」等の機能性を前提としたものだからです。その機能性が不十分であれば(例えば、噛み合わせ等)、当然、歯に問題が生じ、最終的には歯並びが崩れたり、被せ物が取れたりし、審美性が崩れてしまいます。
せっかく、安くはない治療費を支払い、それが短期間でダメになってしまうのはとても残念なことです。そのような状態にさせないためにも、当院では「審美性と同じレベルで機能性」も計算し治療を行います。

「美しい歯」と聞くと、主観的で抽象的なものだと考えがちですが、実際には「具体的な数値」で美しさを導き出すことができる「理論」があります。この理論を反映させることで、多くの方が美しいと感じる口元を作り出すことが可能です。当院で行っている具体的な取り組みをご紹介します。
歯だけでなく、歯と唇、歯と歯肉の関係も考慮することで、「美しい口元」を作り出すことができます。

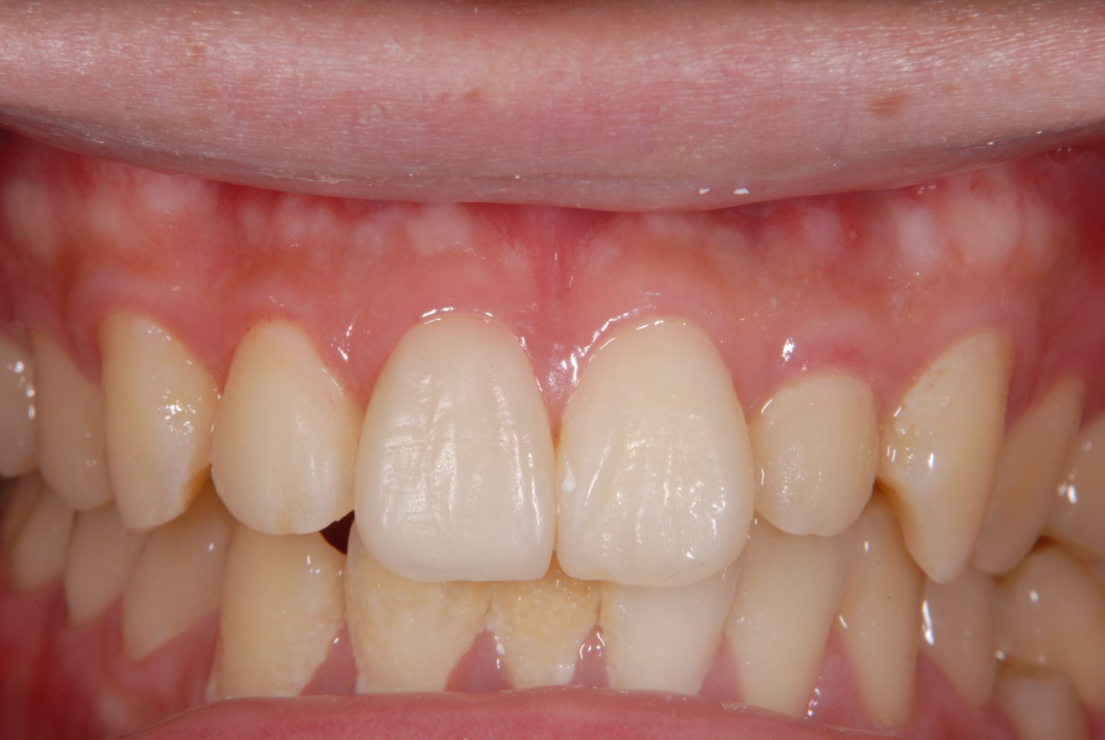
笑った時に、右の画像のように、下唇のアーチと歯並びのアーチを一致させると、口元の美しをより際立たせることができます。
著者: 山崎長郎 クインテッセンス出版: エステティック クラシフィケーションズ より引用

前歯の美観を高めるためには、「中切歯(1.618)」、「側切歯(1)」、「犬歯(0.618)」という比率で並べることで、審美的に優れた配置になります。

上顎前歯の中央に位置する線を「正中線」と言います。
この正中線が顔の中心になるようにすることにより、整ったバランスの良い歯並びとなります。

口元の美しさには「歯肉」も大きく影響してきます。
生物学的な幅を考慮に入れながら精密にフィットするよう被せ物を作製することが重要です。

多くの人が美しいと感じる「客観的な美を構築する理論」に関しては先ほどお話ししました。しかし、「美」には患者さんの「主観的な美」も存在します。この2つを達成させるため「患者さんの美のイメージを確認しながら治療を実施する」ことが大切になります。具体的には次のようなことも行っています。

治療を始める前に、まずは患者さんのお悩みや治療で達成したいことをお聞きします。雑誌の切り抜きなどをご持参いただいても問題ございません。また、当院の過去の症例や模型を基にして、具体的なイメージのすり合わせを行います。

最初に歯型を採取し、その型を基に歯の形状や配置のイメージを調整していきます。

治療の終盤にて、「仮歯」を使った最終調整を行います。これをプロビジョナルレストレーションと言います。単に仮歯を装着するだけではなく、その仮歯をもとに次の調整を行います。
・見た目のイメージ確認
・噛み合わせの確認
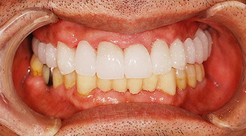
患者さんと私たちが納得いくまでここで調整をします。調整後の仮歯を、本番のセラミックにそのまま反映させますので、イメージと違ったということは起きえません。


口元の美しさとは「歯」だけでなく「歯肉」も関係しています。例えば、歯肉が後退しているケースや、逆に、歯肉が歯の多くをかぶせているケースなど(ガミースマイル)。当院では歯肉関係の処置(歯肉移植術、歯間長延長術)等も行い、口元全体の審美性を高める処置も行っていますので、ご相談いただけたらと思います。


当院では、一時的な美しさだけでなく、継続的な美しさを追求しています。そのためには「機能性」の獲得が重要です。ここでは2つのことに関してお伝えします。1つは「噛み合わせ」、もう1つは「虫歯/歯周病の回避」です。

審美治療にて、なぜ「噛み合わせ」が重要だと思いますか?色々と理由はありますが、端的にお伝えすると、噛み合わせが悪いと、治療した被せ物(もしくはその他の歯)が取れてしまったり、割れてしまったりすることがあるためです。噛み合わせが悪いということは、ある一部の歯に過度な力が加わるということです。それが継続してしまうとこのような問題が生じます。

セラミック治療では、削った歯に被せ物を装着しますが、歯とセラミックの間に「隙間」が生じることがあります。この隙間から虫歯菌/歯周病菌が侵入すると、被せ物の下で虫歯・歯周病が進行する可能性があります。それを回避するため当院では、マイクロスコープや高倍率ルーペを使用して治療を行い、肉眼では見えない隙間を埋めていきます。

当院では「セラミック矯正」も行っています。セラミック矯正とは、セラミックの被せ物を利用して、歯の白さだけでなく、歯並びも整える治療法です。よく「矯正歯科と何が違うのですか?」と質問を受けるので、一般的な矯正とセラミック矯正の違いについて、以下に比較を示します。
治療期間 | 治療法 | その他 | |
|---|---|---|---|
矯正歯科 ![]() | 2年~3年 | 矯正装置 | ・抜歯が必要なケースがある |
セラミック矯正 ![]() | 1回~3回 | セラミックの被せ物 | ・抜歯は不要 |
セラミック矯正は、短期間で美しい口元を手に入れることができます。
ただし、健康な歯を削る必要があるため、歯を削ることに抵抗がある方には矯正治療が適しています。
詳しくは、大人の矯正歯科のページをご覧ください。
当院では、患者さんが抱えていらっしゃるお口のお悩みや疑問・不安などにお応えする機会を設けております。どんなことでも構いませんので、私たちにお話ししていただけたらと思います。
ご興味がある方は下記からお問い合わせください。