
27.5万円(税込)~のこどもの矯正歯科
こどもの顎顔面矯正
4つの 「ない」 を実現- 「抜歯 」しない
- 「痛く」 ない
- 「後戻り」 しない
- 「ワイヤーを利用」 しない






たくさんの評価をいただいています

~すべての世代の治療に対応~









「痛み」 を抑え、「削る量」を最小限にし、「歯の神経を守る」 治療
患者さんの幸せに貢献できることは何か。
私達は、こう考えます。
お口に一切の悩みを抱えず、
日々、過ごしていただくこと。
当院に通われる患者さんの多くは、
これを達成できています。
しかし、お口に悩みを抱えた患者さんが
日々、新しく来院されます。
これには様々な理由がありますが、
「受けてきた歯科治療」に問題があることも。
当然ですが、
歯科医のレベルは皆同じではありません。
つまり、誰が治療するかで、
歯の未来は決まります。
あなたの歯、守らせてください。
※ 写真中央のスライダを左右にドラッグして画像を比較できます

欠けた前歯部をダイレクトボンディングにて治療したケース。

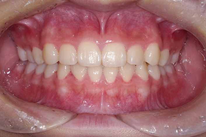
子供の歯並び矯正。叢生/反対咬合の状態を歯列矯正で整えたケース。

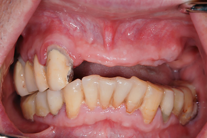
ボロボロの状態をインプラント等の総合治療で綺麗に整えたケース。

歯周病と欠損した歯をインプラントや入れ歯で治療したケース。

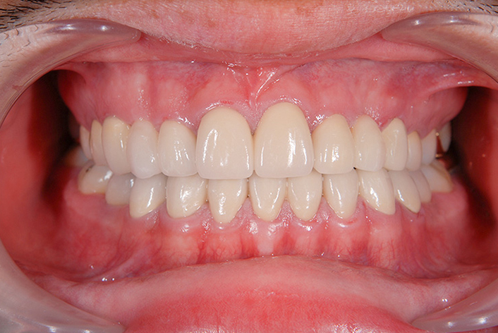
上顎前歯部をセラミックの被せ物で審美的に改善したケース。

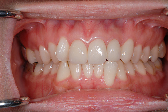
悪い歯並びをセラミッククラウン、矯正治療で整えたケース。

得意分野を活かした


東京都港区高輪・泉岳寺・白金の歯医者「KISSEI DENTAL CARE」では、治療の精度を上げる精密機器の使用や欧州基準の滅菌体制、原因から改善を図る原因療法など患者さんの「こうしたい」を実現するための環境を整えています。「泉岳寺駅」徒歩22分/「高輪ゲートウェイ駅」徒歩10分/「白金高輪駅」徒歩10分の歯医者。


当院には歯科専用CTやマイクロスコープ
高周波治療器など精密機器が揃っています。








当院では厳格な欧米基準のクラスBオートクレーブ、ジェットウォッシャー、DACなど専用の滅菌機で滅菌・理留守除去をおこなっています。



当院ではCT検査以外にも、唾液検査、遺伝子検査なで、問題の原因を特定し根本から改善を図る原因療法を実施しています。



東京都港区高輪・泉岳寺・白金の歯医者「KISSEI DENTAL CARE」では小さなお子さんの小児矯正(顎顔面矯正、床矯正、マイオブレース、プレオルソ、マウスピース矯正)やインプラント、ボロボロの歯の改善、顎関節症/歯ぎしり/食いしばりなどの専門治療が患者さんから高く評価されています。「泉岳寺駅」徒歩22分/「高輪ゲートウェイ駅」徒歩10分/「白金高輪駅」徒歩10分の歯医者。


当院の治療は
話すことは始まります
歯科治療は患者さんとの二人三脚です。
患者さんとの信頼関係無くして
良い治療はあり得ません。
ぜひ当院へあなたの
「こうしたい」
「こんな治療はイヤ」
など希望や悩みをお聞かせください。





東京都港区高輪・白金の歯医者「KISSEI DENTAL CARE」のホームページをご覧いただき誠にありがとうございました。当院では虫歯治療や歯を抜かない治療、根管治療、歯周病治療、小児歯科などの一般歯科を始め、インプラント、ボロボロの歯の改善、入れ歯、削る量が少ないブリッジ、審美セラミック治療、ホワイトニング、こどもの矯正歯科、大人の矯正歯科、セラミック矯正、ガミースマイル治療、親知らずの抜歯、顎関節症/歯ぎしり/食いしばりなどの専門治療、さらには歯科ドックまで幅広い治療をおこなっております。水曜日を除いて月~土曜日まで毎日診療。「泉岳寺」駅から徒歩2分のほか「高輪ゲートウェイ駅」「白金高輪駅」からも徒歩でご来院いただける歯医者です。