セカンドオピニオン対応
入れ歯製作に自信あり
まだ諦めないでください
12万円~

噛める入れ歯には、
噛める「理由/根拠」があります
セカンドオピニオン対応
12万円~

噛める入れ歯には、
噛める「理由/根拠」があります












しっかり噛めて飲み込める入れ歯は、食事面だけでなく、次のような効果も期待できます。
●口元の「アンチエイジング」
フィットする入れ歯を使うことで、ほうれい線やしわが軽減され、口元が若々しく見えるようになります。
●「噛む能力」の向上
噛み合わせを適切に調整することで、物を噛む力が強化されます。
●嚥下機能(飲み込む力)の向上
口腔内の筋肉(舌や頬など)が強化され、その結果、嚥下能力が向上します。

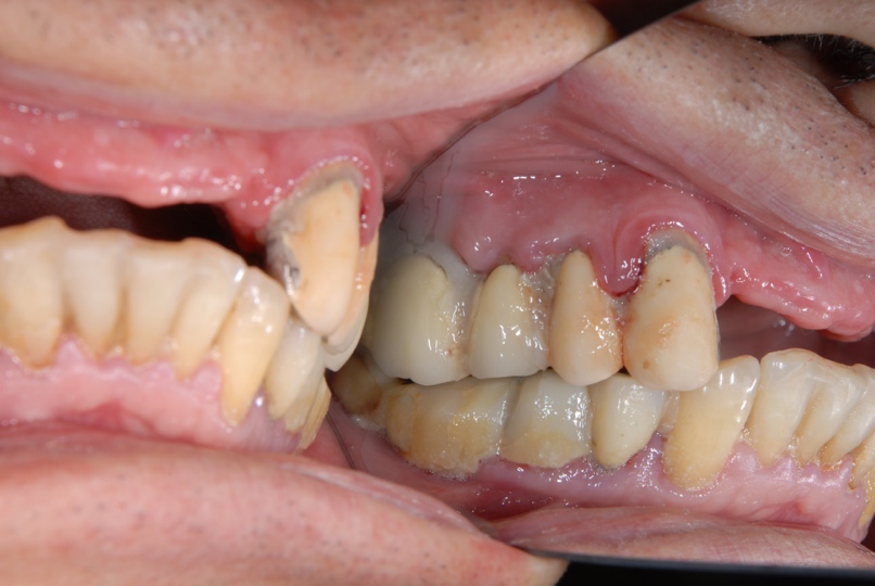
入れ歯を使っている多くの皆さんは、苦しんでいます。
・お口の中の極度の異物感、痛み
・会話の途中で突然外れてしまい、話すこともままならない
・食べられるものは限られる。しかもまったく美味しく食べられない
・頻繁に起こる嘔吐感
まるで地獄のようなストレスです。性格が暗くなってしまう方も少なくありません。
入れ歯を作った歯科医師に助けを求めると、「入れ歯とはそういうもの。我慢していればそのうち慣れる」などと言われてしまいます。
これは本当なのでしょうか?
歯科医師側にも様々な意見があると思いますが、少なくとも私たちが提供する入れ歯では、このようなことは起きえません。
その理由をこれからご紹介します。

当然のことですが、「噛める/外れない/痛くない」入れ歯を制作するための理屈があります。つまり噛めるだけの理由/根拠があるということです。そして「噛めない/外れる/痛い」入れ歯にはそうなってしまうだけの理由があります。
その理由や根拠に関してはこれからお伝えしていきますが、簡単にお伝えすると入れ歯制作の「そもそもの工程や工数」全く異なります。「製作工数」について、どれほどの違いがあるかをグラフ化してみました。当院の入れ歯づくりは、どれくらいこだわって制作しているかが一目瞭然だと思います。

なぜこのような当たり前のことをお伝えしたかというと、噛める入れ歯の作り方が存在することを皆さんにお伝えしたかったからです。入れ歯を使用されている方のほとんどが「入れ歯を諦めている」方です。まだ諦めないでくださいと声を大にして言いたい。では、噛める入れ歯がどのようなものであるかをお伝えします。


よく患者さんには「入れ歯制作は建物を建てることと似ている」とお話しします。
具体的には、建物を建てる際に材料や使用位置などから強度を考え、建物が倒壊しないための設計。柱や梁はどの太さ・長さのものを何本、どう使うか。壁はどの面に設置すれば倒れない建物ができるか。それぞれ強度を計算し数値化します。
これは入れ歯も同様です。しかし、ここまで計算して制作されている入れ歯はほとんどありません。ほとんどの入れ歯は1回の型取りを行い、それに基づいて入れ歯を制作するだけです。普通に考えて、良い入れ歯が出来上がるわけがないですよね。
入れ歯も、建物と同じように様々な素材からできています。それらをどう配置するかの「基本設計」を行い、その細部の形状や厚み、素材などを「数値化しながら制作」することが重要です。例えば、雪国で雪に強い家づくり、南国での暑さ対策を施した家づくりでは「選ぶ材料」や「設計」が変わってくるように、歯も患者さんの歯並びや顎の骨の状態をもとに「材料」を選び、どう「配置」するかを決めて作るのが「当院の入れ歯制作」です。
入れ歯が合わない原因として「実際のお口の動きに入れ歯がついてこれていない」ことがあげられます。
「一般的」な入れ歯製作では、上下の歯型を採って入れ歯を作製しますが、それだけでは十分ではありません。なぜなら、その状態で作られた入れ歯は、「何もしていない状態」に合わせた入れ歯だからです。もっと言ってしまうと「お話をしている状態」「食事をしている状態」の顎の動き・筋肉の動きが反映させていない入れ歯ですので、どうしても問題が生じます。
ではどうするのか?
当院では、この普段の生活で生じるお口の様々な動きを「特殊な印象採得法」や「診断用義歯」というものを利用し入れ歯に反映していきます。ここでは「診断用義歯」に関してお伝えします。

本番用の入れ歯を作製する前に「診断用義歯(リハビリテーション用の入れ歯)」を作製し、それを普段の生活で装着していただくことで、「会話している状態のお口の動き」や「食事中のお口の動き」をその入れ歯に記録していきます。その情報を元に、問題箇所を随時改善していきます。
「入れ歯を装着するだけでそのような記録を取れるの?」と疑問に思われるかもしれませんが、この入れ歯は特殊な構造をしており、お口の様々な動きを記録することができるのです。またこの診断用義歯の改善に合わせ、お口の機能性も徐々に回復していきます。
この工程を繰り返すことで、最終的には患者さんのお口に合った入れ歯の構造が判明し、同時に問題があった患者さんのお口の状態(噛み合わせ等)が整います。その状態なった後、診断用義歯を本番用の義歯に置き換えることで、あなたに合った入れ歯が完成します。
つまり、診断用義歯で本来あるべきお口の状態に改善した後に、初めて本番用の入れ歯を作製していきますので、当然、非常に安定した入れ歯ができあがるのです。


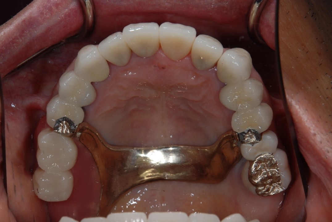
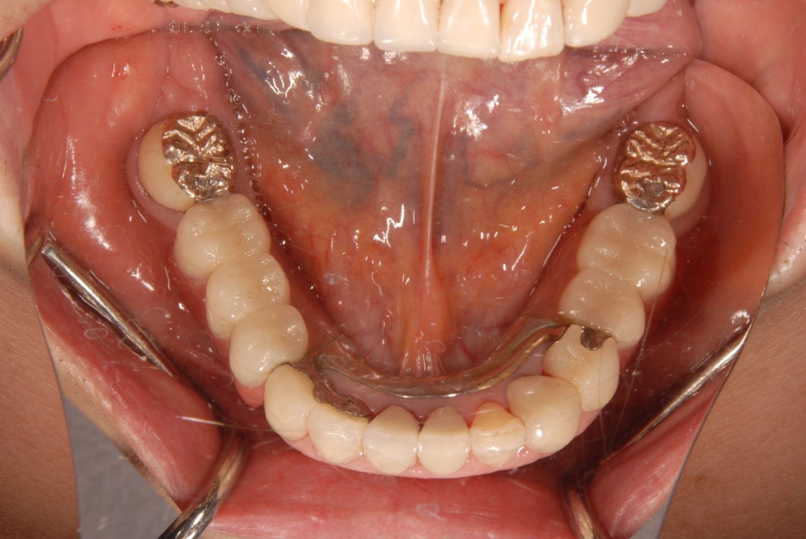
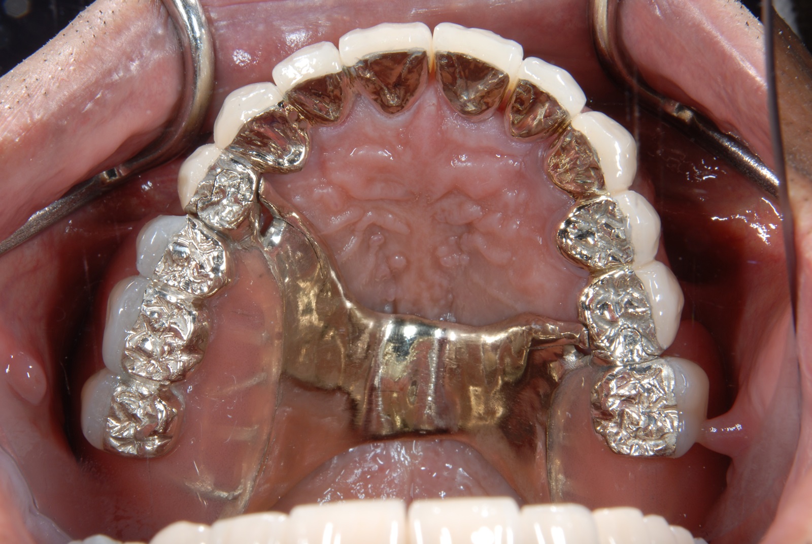
当院で制作する入れ歯には、掲載画像のように咬合面を「金属」にすることがあります。歯の裏側に金属を利用するので目立ちません。これはミクロン単位で「噛み合わせを調整」するためです。通常、入れ歯の歯の部分は「レジン」を利用するのですが、使い続けると摩耗してしまい、噛み合わせが徐々にズレることがあります。また、制作段階でも、ミクロン単位での咬合調整は素材の性質上難しいことがあります。
しかし、この部分を「金属」に置き換えることで、制作時からミクロン単位での調整が可能になり、また、摩耗もほぼしませんので、よい噛み合わせを維持することができます。
良い入れ歯を制作するために「噛み合わせ」は必須の条件となりますので、この部分にいかにこだわれるかがポイントになります。


一般的に被せ物などの補綴物(ほてつぶつ)は歯科医師の指示のもと、歯科技工士と呼ばれる専門家が作製します。しかし、当院では、すべてのケースではありませんが歯科医師自ら補綴物の作製を行います。歯科医師が設計から作製まで行うため、治療精度が向上する他、タイムロスがないため、治療期間も短縮することができます。
その他、患者さんと密なコミュニケーションをとりながら制作できるため、患者さんの審美的な意向や、ほんのちょっとした違和感などもすぐに改善できるため、患者さん満足度が非常に高い入れ歯が制作できます。


ここまで読んでいただければ、「一般的な入れ歯」と「噛める入れ歯」には大きな違いがあることがお分かりになったかと思います。そして「噛める入れ歯を制作してくれる歯医者」に行けば、これまでの悩みの多くが解消されることも。
ここで疑問に感じることはありませんか?
それは「なぜ、一般的な噛めない入れ歯が主流になっているのか?」「噛める入れ歯を制作してくれる歯医者はどこにあるのか?」と。
1つ目の噛めない入れ歯が主流になっている理由ですが、保険制度の問題が根底にあるかと思います。入れ歯になってしまった方の多くは、最初は保険の入れ歯を選択されることが多いのですが、保険適用の入れ歯は「素材」や「かけられる時間」等に制限があるため、こだわった制作ができない現状があるためです。
もう1つの、噛める入れ歯を制作してくれる歯医者はどこにあるのか?という問題ですが、残念ながら、しっかり噛める入れ歯を制作できる歯科医師は、全国でも極わずかです。その理由は、非常に手間暇がかかること、そして様々な知識や高度な技術力を要するためです。つまり、保険外治療(自費)の入れ歯で、しっかり時間を確保し、良い材料を利用したからと言って噛める入れ歯は制作できないということです。これは良い材料を利用したからといって、美味しい料理はできないことと同じです。
しかし、良い入れ歯を制作している歯科医師は「こだわり」を必ず持っています。なので、主治医に「噛める入れ歯を制作するためのポイントを教えて下さい」と質問し、その答えで「こだわりの有無」は確認できます。答えには専門用語も多く出てきてしまうと思いますが、こだわりのない歯科医師は多くは答えられません。

噛める入れ歯は、あなたの人生を変えくれることを、私たちは知ってます。
今の入れ歯に妥協するのではなく、行動し、良い入れ歯を製作できる歯科医師に巡り合ってください。

当院では、患者さんのニーズにお応えするため、さまざまな種類の入れ歯をご用意しています。以下に代表的なものをご紹介します。

ノンクラスプデンチャーは、金属のバネを使わない部分入れ歯です。
見た目が自然で、装着感も快適です。
目立ちにくさや快適さを重視する方に特にお勧めです。
また、柔軟な樹脂素材で作られているため、軽くて薄く、食事や会話も自然に楽しめます。
金属アレルギーの心配もありませんし、残っている歯や歯茎への負担が少なく、取り外しや手入れが簡単です。
ただし、口腔内の状態によっては適用が難しい場合もありますので、ご希望される場合はまずはご相談ください。

磁性アタッチメント義歯は、歯の根が残っている部分に金属を装着し、磁石を使って入れ歯を固定します。
これにより、入れ歯を装着した際の違和感が軽減され、入れ歯が外れにくくなるというメリットもあります。

インプラントオーバーデンチャーは、特に総入れ歯の方にお勧めです。
2本から4本のインプラントを埋め込み、その上に入れ歯を固定します。
自分の歯のような自然な噛み心地が得られ、取り外しも簡単なため、ご自宅でのケアも非常に楽です。

コーヌスクローネ義歯は、ドイツで誕生し、100年以上の歴史を誇る義歯で、ヨーロッパでは「長期的に利用できる義歯」として非常に人気があります。以下のような特徴があります。
・メンテナンスしながら長期間使用可能
・他の歯を傷めない設計
・簡単に取り外しが可能
・金属のバネがないため目立たない
・自分の歯のようにしっかり噛める
・外科処置が不要

ダウエルレストアタッチメントは、特殊な構造を内包した入れ歯です。簡単に説明すると、入れ歯を維持するための支えとなっている歯に負担を与えない入れ歯になります。通常の入れ歯は、噛むたびに支えとなっている歯を揺さぶるため、その歯は最終的には抜歯になることが多くあります。
しかし、ダウエルレストアタッチメント義歯は、支台の歯へのダメージを最小限に抑えられるため、長く利用できる入れ歯になります。

合わない入れ歯は、本当に食べられない。
多くの患者さんを診てきての率直な感想です。
口からしっかり食事がとれること。
これはとても大切なことです。
お口に合う噛める入れ歯を製作し、食事ができるようになり、元気になった方をたくさん見てきました。私の親もそうでした。
「お口の健康=命のミナモト」
本当にそう思います。
噛める入れ歯を製作できるのは、ごく一部です。
当院ではそれができます。
噛めない入れ歯で困っている人を、助けたい。
当院では、患者さんが抱えていらっしゃるお口のお悩みや疑問・不安などにお応えする機会を設けております。どんなことでも構いませんので、私たちにお話ししていただけたらと思います。
ご興味がある方は下記からお問い合わせください。