短期間で
「美しい歯並び」と「白い歯」を実現する
「セラミック矯正」

- 「矯正装置」は使用しません
- 歯並びだけでなく、「歯の色/形」も変えられます






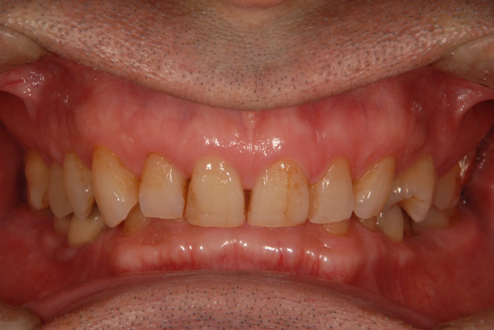
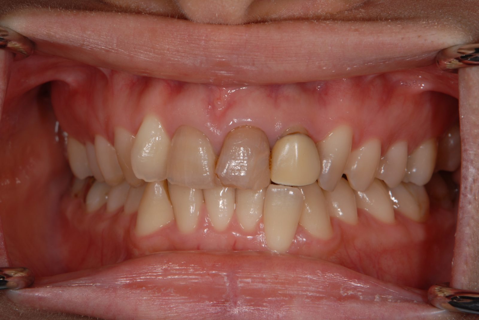
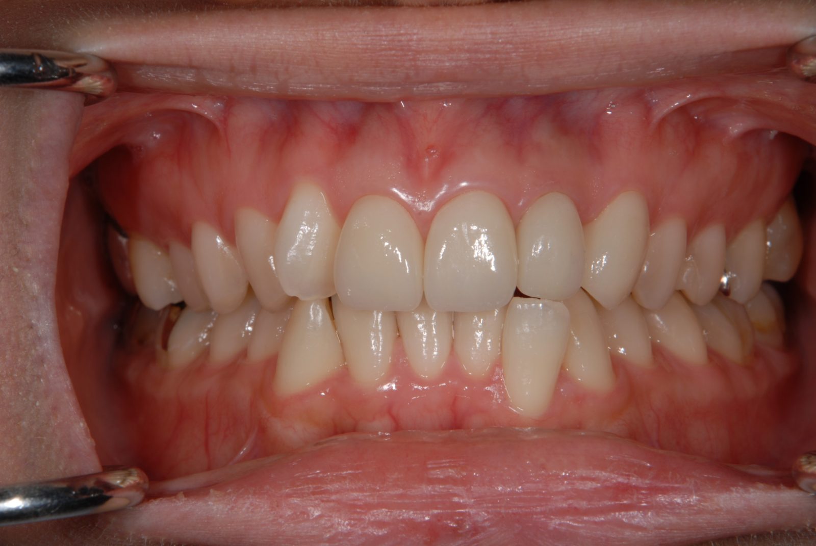
一般的に、歯並びを整えるには「矯正治療」を、歯の色や形を改善するには「セラミック治療」を選択します。
しかし、これら二つの治療を融合させたのが、当院で人気の「セラミック矯正」です。

この治療では、「セラミックの被せ物」を使用し、歯の色と形の美しさだけでなく、歯並びも同時に調整していきます。
患者さんからはよく、「セラミック矯正と通常の矯正治療、どちらを選択したほうがいいですか?」という質問を受けます。両者にはそれぞれ利点と欠点がありますので、分かりやすい比較表にしました。
治療期間 | 治療法 | その他 | |
|---|---|---|---|
矯正歯科 ![]() | 2年~3年 | 矯正装置 | ・抜歯が必要なケースあり |
セラミック矯正 ![]() | 1回~3回の来院 | セラミックの被せ物 | ・抜歯は不要 |
患者さんの手間暇(治療期間等)を考えると、セラミック矯正の方が多くのメリット感じるかもしれません。しかしセラミック矯正にはデメリットも存在します。

それは、「健康な歯を削る必要がある」ということです。そのため、ご自身の健康な歯を削ることに抵抗がある方にとっては、セラミック矯正は適していないかもしれません。そういった方々には、歯を削ることなく歯並びを整えることができる矯正歯科の治療がお勧めです。
以下のような方々には、従来の歯列矯正よりもセラミック矯正を推奨しています。
当院では、患者さんが抱えていらっしゃるお口のお悩みや疑問・不安などにお応えする機会を設けております。どんなことでも構いませんので、私たちにお話ししていただけたらと思います。
ご興味がある方は下記からお問い合わせください。