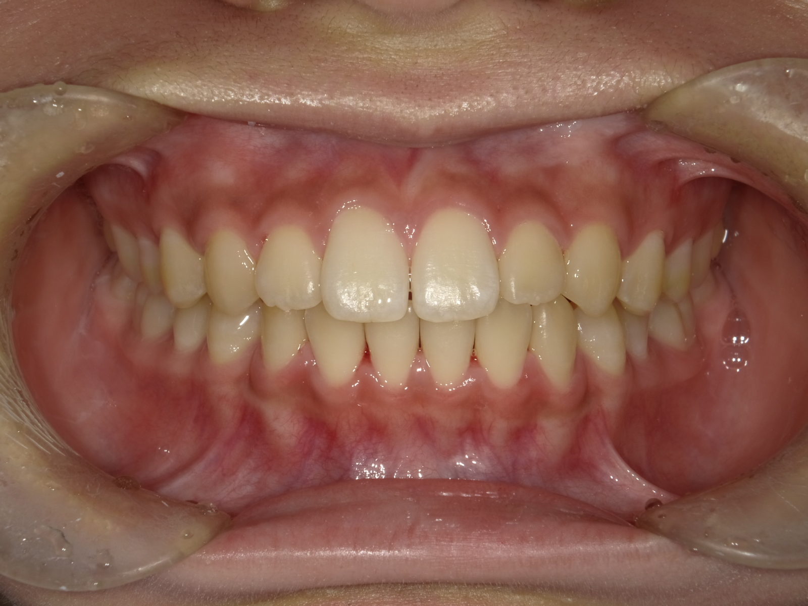
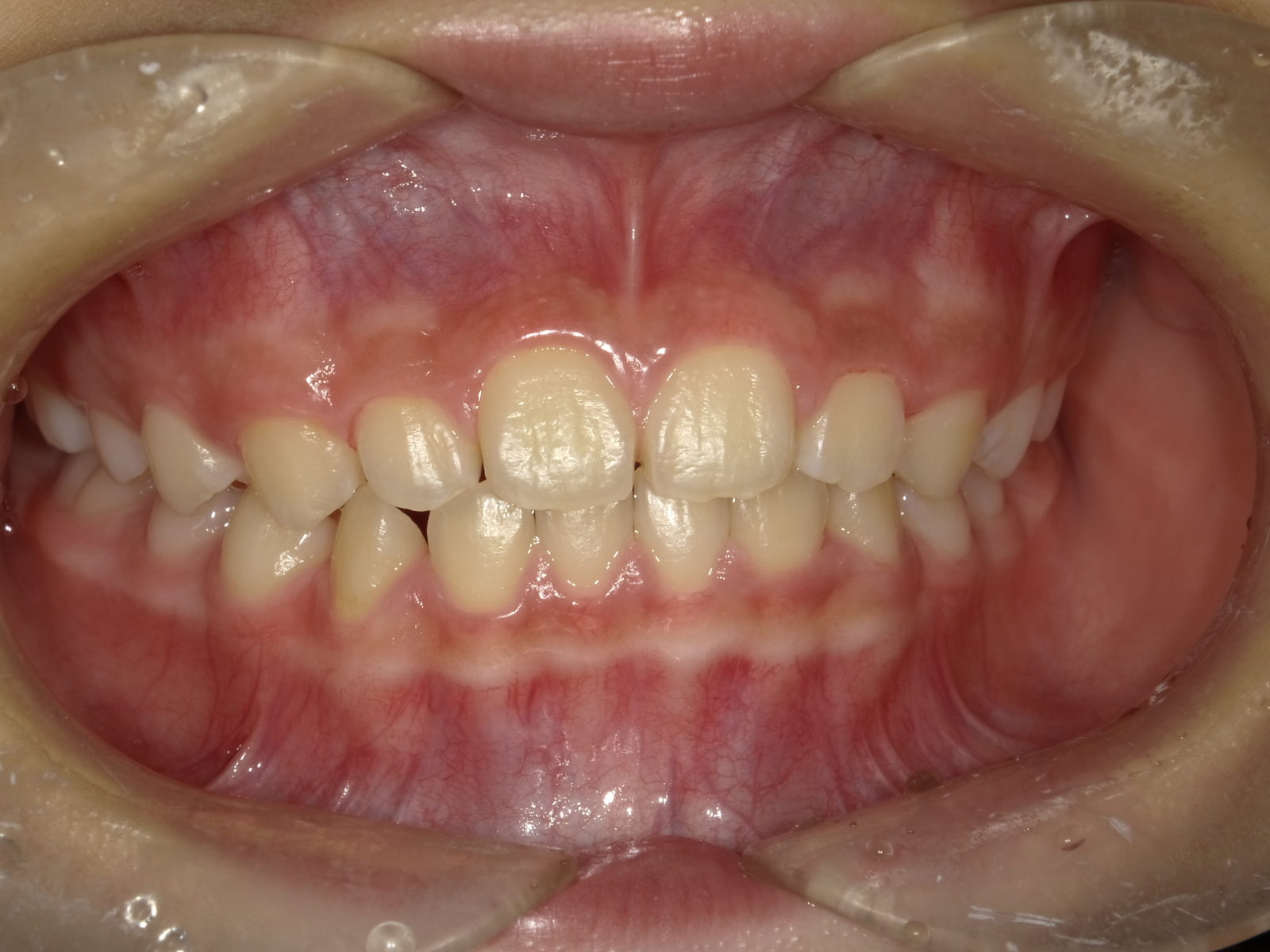
歯並び+全身の健康も改善する
「顎顔面矯正」
25万円~

顎顔面矯正には「歯並びを整える」以外にも多くのメリットがあります
- 「後戻り」しにくい
- 「喘息」の改善
- 「鼻づまり」の改善
- 「いびき」の改善
- 「アトピー」の改善
25万円~

顎顔面矯正には「歯並びを整える」以外にも多くのメリットがあります














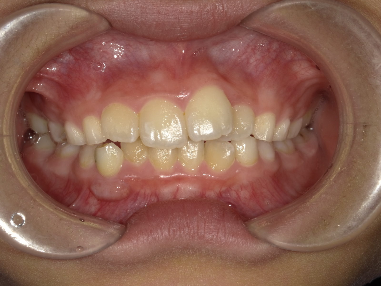
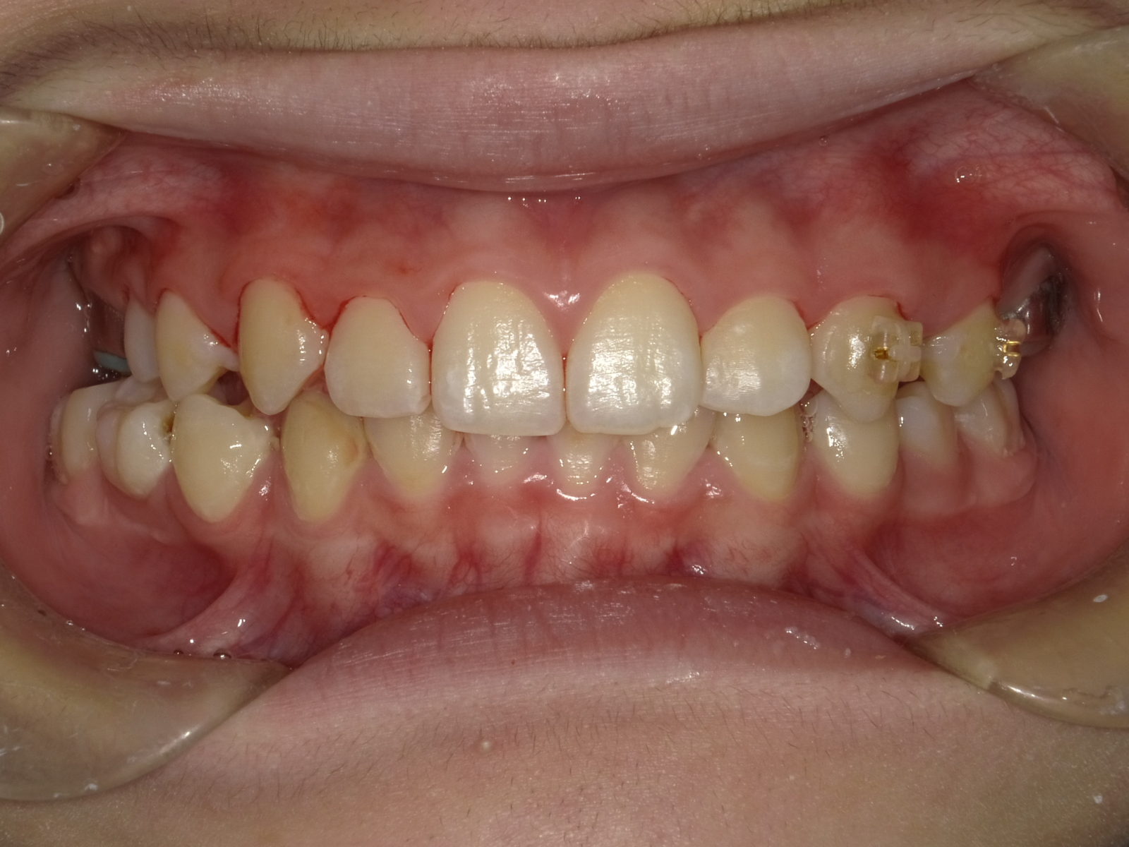
顎顔面矯正の説明をする前に、「なぜ子供の歯並びが悪くなるの?」に関してお答えします。
簡単にお伝えすると、歯が生える土台の「顎」が昔と比べて小さくなっているためです。
「3人掛けのベンチに5人が座る」ことをイメージしてみてください。
きれいに座れず飛びたす人もいますよね?
歯も同じです。
狭い顎に無理矢理歯が並ぼうとするので、ガチャガチャになるのです。
一般的に行われている矯正は、この状態を力技で並べます。
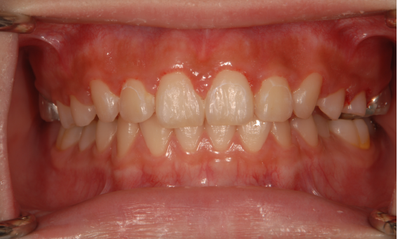
しかし、それでは根本的な改善にはなりません。その理由として、一度並べた歯が時間の経過とともに後戻りしてしまうことからもわかると思います。
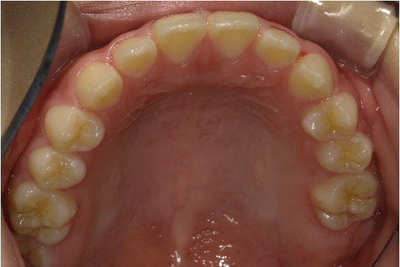
つまり、歯が適切に並ぶように「顎のスペースを広げる」ことが重要になります。
これまでも「顎のスペースを広げる子供の矯正」は存在していました。
有名なものは「床矯正」というものです。これには次のような欠点がありました。

・適応年齢(4歳~10歳)が限定される
・床矯正後、ワイヤー矯正を高確率で行う必要があるため
・治療期間が長くなる
・取り外しできるため、お子さんが外してしまいなかなか歯並びが改善しない
顎顔面矯正も「顎のスペースを広げるアプローチ」を行う矯正手法ですが、床矯正のデメリットをすべて改善しています。その他、次のようなメリットも期待できる矯正治療です。

歯並びを整えることで、なぜこのようなメリットが見込めるのかを次節でご説明します。

専門的なお話になるので、簡単にご説明します。
顎顔面矯正は一般的な矯正と異なり「顎を拡大」するのですが、特に「上の顎」を拡大することが大きな特徴です。これを行うことで、先ほどのメリットが副次的効果として生まれます。
逆に、「上の顎が狭い/未発達」なままだと次のような流れで様々な問題が生じます。
①上顎の狭さは鼻腔の狭さにも比例するため、鼻呼吸がしづらい
↓
②鼻呼吸が難しくなると、鼻の通り道である鼻腔内で細菌が繁殖しやすくなり、上咽頭炎になる
↓
③上咽頭炎が発生すると、免疫系に異常が生じ、鼻粘膜や気管粘膜にアレルギー反応による炎症が生じることがある
↓
④ アレルギー反応により鼻炎がさらに進行すると、喘息の症状が悪化する可能性がある
↓
⑤脳への酸素供給が阻害され、脳の発達に悪影響を及ぼし、学習能力の低下につながる

顎顔面矯正治療の主要な目的の一つは、鼻呼吸の促進です。口呼吸を続けると、口の中が乾燥し、それが細菌の繁殖に適した環境を作り出します。このような状態は、風邪を引きやすくなるだけでなく、虫歯や口臭の原因にもなります。
さらに、口呼吸が歯並びに悪影響を及ぼすことも指摘されています。簡単に説明すると、舌は本来「スポット」と呼ばれる上顎の前歯の歯茎に触れるのが正しい位置です。しかし、口呼吸をしていると舌が本来の位置よりも下がり、それが上顎の発育を妨げることになります。
歯並びと全体的な健康を守るためにも、鼻呼吸を習慣づけることが非常に重要です。

当院では鼻腔計を導入し、鼻の通りを確認しています。その理由は、鼻づまりによって口呼吸が誘発されるからです。
口呼吸は、歯並びが乱れる大きな原因の一つです。また、それだけではなく、鼻が詰まったままですと、寝苦しく、十分な睡眠がとれないため、お子さんの成長そのものにも影響が及びます。
当院では、鼻腔計を活用し、鼻呼吸がどのくらいできているのかの確認、治療前後の鼻通りの変化などを具体的な数値でお伝えしています。
顎顔面矯正は、「急速拡大装置」を利用し、正中口蓋縫合と呼ばれる部分を広げ、顎骨の成長を促していきます。下の画像のように「ねじ」を回すことで装置を徐々に広げていきます。


この装置以外にも、ケースによっては「マイオブレース」と呼ばれる装置や、お口の発育を促す「トレーニング」を併用することもあります。矯正治療で「トレーニング?」と思われるかもしれません。トレーニング(筋機能訓練)の必要性に関して簡単にご説明します。


先ほどもお伝えしましたが、「歯並びを悪くする癖」には口呼吸以外にも、舌癖、逆嚥下の他、頬杖、唇噛み、うつぶせ寝/横向き寝等があります。これらを改善することで、歯並びが悪くなる原因がなくなり、自然と正しい方向に歯は並んでくれます。当院ではこの悪癖を「トレーニング(筋機能訓練)」で改善していきます。
また、トレーニング以外にも「補助装置(マイオブレース)」を併用することもあります。

「マイオブレース」とは、従来のワイヤー矯正装置とは異なり、直接歯を動かすのではなく、歯並びを悪化させる口周りの筋肉の癖を改善することで間接的に歯並びを整えていく装置です。
歯の生え方は偶然ではなく、「舌・頬・唇の筋肉」の働きとそのバランスによって決まります。この口周りの筋肉のバランスが崩れていると、歯並びも乱れが生じますが、バランスが整っていれば、歯は理想的な位置に自然と並びます。
マイオブレースを装着することで、自然にこれらの筋肉を訓練し、バランスを整えることができます。歯は適切な位置に自然と並んでいくため、矯正治療においてより自然な方法で美しい歯並びを目指すことが可能になります。

理想的には、6~7歳の頃に矯正治療を開始することが望ましいとされています。特に、反対咬合(受け口)の症状を持つお子さんの場合、4~5歳から治療を始めることで、治療結果の質が大きく向上します。反対咬合を放置すると、成人後に外科的な処置が必要となる場合もありますので、早期治療が重要です。
当院ではお子さんの口腔健康を長期にわたって守るためにも、できるだけ早い段階での治療開始をお勧めしています。治療が完了した後も、永久歯列が生え揃うまでは定期的なチェックを行い、顎顔面矯正の効果を長持ちさせるためのサポートを続けています。


当院では、小さなお子さんがリラックスして治療を受けられるよう、キッズスペースを設けています。治療前のリラックスタイムや、保護者の方が治療中の待機場所としてもご利用いただけるため、家族連れの患者さんにも安心してお越しいただけます。
さらに、治療を頑張ったお子さんには、ささやかながらも心を込めたプレゼントを用意しております。このプレゼントを楽しみにして診察に来るお子さんも多く、治療のモチベーション向上にも繋がっています。

ここまでお読みいただければご理解いただけたと思いますが、「歯並びが悪くなる原因」がすでに判明しており、それを早い段階で摘み取ることで歯並びが悪くなることを回避できます。
まずは、この「事実」を多くの親御さんに知っていただきたいです。そして、従来のアプローチ法では根本的な解決にはならないという事実も知ってほしいです。なぜなら、そもそものアプローチ方法が異なるからです。
当院で行っている方法は、歯並びが悪くなってしまうそもそもの原因を摘み取ることです。従来法は、そこにはアプローチしません。
小さい頃に適切に歯並びを整える事で、この子の人生がプラスに傾きます。そんなお子さんをこれまで多く見てきました。新しい時代を築いていく、子供の未来。親御さんと協力しながら、一緒に創っていきたいと心から思っています。
当院では、患者さんが抱えていらっしゃるお口のお悩みや疑問・不安などにお応えする機会を設けております。どんなことでも構いませんので、私たちにお話ししていただけたらと思います。
ご興味がある方は下記からお問い合わせください。